Nha khoa Miley Luxury đối mặt với các cáo buộc về việc cấy ghép Implant răng không được chứng nhận
Nghi vấn sử dụng trụ Implant không rõ nguồn gốc
Nghi vấn sử dụng trụ Implant không rõ nguồn gốc đã xuất hiện trong lĩnh vực y khoa khi Báo Tuổi trẻ Thủ đô tiếp nhận đơn tố cáo từ một bạn đọc với tên viết tắt T.T.H, ngụ tại phường Tân Phú, Quận 7, TP Hồ Chí Minh. Đơn tố cáo này phản ánh về việc Phòng khám chuyên khoa Răng Hàm Mặt, thuộc Chi nhánh 1 Công ty TNHH Miley Luxury, địa chỉ 80B Lý Chính Thắng, phường Võ Thị Sáu, Quận 3, có dấu hiệu vi phạm quy định về hoạt động khám bệnh và chữa bệnh, đồng thời sử dụng trụ Implant không rõ nguồn gốc gây hệ lụy cho người sử dụng.
![]() |
| Nha khoa Luxury Dental bị “tố” cấy trụ Implant không rõ nguồn gốc, vi phạm quy định về khám chữa bệnh. https://suckhoeviet.org.vn/ |
Theo đơn tố cáo, vào ngày 17/8/2022, ông T.T.D, người bệnh sinh năm 1954 và gia đình ông đã đưa ông T.T.D đến Nha khoa Miley Luxury để khám răng. Tại đây, ông T.T.D đã được tư vấn nhổ 20 chiếc răng và trồng mới 12 trụ Implant, nhằm phục hồi toàn bộ 24 răng sứ trong 2 hàm.
Theo thỏa thuận, gia đình ông T.T.D đồng ý trồng 12 trụ Implant của nhãn hiệu Alphadent, xuất xứ từ Đức, với tổng giá trị là 216 triệu đồng. Trước khi thực hiện quy trình lắp ghép răng, gia đình ông đã thanh toán trước 132 triệu đồng. Số tiền còn lại sẽ được thanh toán sau khi quy trình hoàn tất.
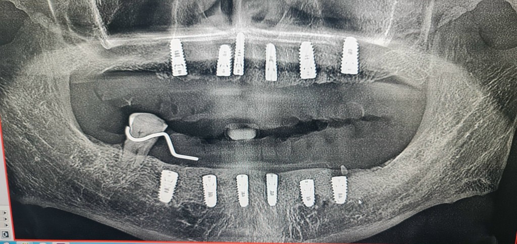
Ngày 23/5/2023, ông T.T.D quay trở lại Nha khoa Miley Luxury để tái khám và đặt Abutment, một khớp nối dùng để gắn kết trụ Implant trong xương hàm và răng sứ. Tuy nhiên, sau khi ông T.T.D thực hiện quy trình này và về nhà, ông bị đau nhức và được gia đình đưa đi khám tại Bệnh viện Răng Hàm Mặt TP Hồ Chí Minh. Kết quả chụp chiếu và xem lại hình ảnh CT 2 hàm, ông T.T.D nghi ngờ rằng Nha khoa Miley Luxury đã sử dụng trụ Implant không phải của nhãn hiệu Alphadent (Đức) như đã thỏa thuận.
Sau khi phát hiện vấn đề này, ông T.T.D đã liên hệ với phòng khám để yêu cầu cung cấp hồ sơ bệnh án và các chứng từ liên quan đến tem, nhãn, nguồn gốc xuất xứ của 12 trụ Implant đã được trồng. Tuy nhiên, phòng khám không cung cấp bất kỳ giấy tờ nào để chứng minh, chỉ cam kết bằng miệng rằng trụ Implant đều là hàng chính hãng của Đức.
![]() |
| Người nhà anh H nghi ngờ 12 trụ Implant mà Nha khoa Miley Luxury trồng không phải hãng Alphadent của Đức. https://suckhoeviet.org.vn/ |
Người nhà của ông T.T.D nghi ngờ rằng 12 trụ Implant mà Nha khoa Miley Luxury đã trồng không phải là của nhãn hiệu Alphadent (Đức). Thêm vào đó, ông T.T.D đã phát hiện thông qua phương tiện truyền thông rằng Nha khoa Miley Luxury đang bị Sở Y tế xử phạt và tước quyền sử dụng giấy phép hoạt động khám bệnh, chữa bệnh trong thời hạn 4 tháng kể từ ngày 2/6/2023.
Khi liên hệ lại với phòng khám, ông T.T.D nhận được thông tin từ một nhân viên rằng cơ sở vẫn đang hoạt động bình thường, mặc dù đã bị tước giấy phép. Tình huống này làm ông T.T.D nghi ngờ rằng phòng khám đang hoạt động "chui", không tuân thủ quy định pháp luật.
"Rõ ràng cơ sở đang bị tước giấy phép, nhưng khi tôi đưa bố đến khám và tháo chỉ vào ngày 5/6, phòng khám vẫn hoạt động bình thường, không có dấu hiệu tạm ngưng như thông báo của Sở Y tế. Trường hợp phòng khám tiếp tục hoạt động trong thời gian bị đình chỉ và xảy ra sự cố thì ai sẽ chịu trách nhiệm?", người nhà ông T.T.D đặt vấn đề.
Vụ việc này đặt ra nhiều câu hỏi về chất lượng dịch vụ y tế và an toàn của bệnh nhân. Việc sử dụng trụ Implant không rõ nguồn gốc không chỉ gây hệ lụy cho người sử dụng mà còn đe dọa đến sức khỏe và tính mạng của họ. Trụ Implant không đạt tiêu chuẩn chất lượng có thể gây viêm nhiễm, khó chịu và thậm chí gây tổn thương nghiêm trọng cho cấu trúc xương hàm và răng sứ.
Để đảm bảo an toàn cho bệnh nhân, việc sử dụng vật liệu y khoa phải tuân thủ các quy định và tiêu chuẩn cần thiết. Việc trụ Implant không rõ nguồn gốc xuất xứ không chỉ vi phạm quy định về hoạt động khám bệnh, chữa bệnh mà còn đặt dấu chấm hỏi lên uy tín và độ tin cậy của phòng khám.
Bên cạnh đó, việc Nha khoa Miley Luxury bị Sở Y tế xử phạt và tước giấy phép hoạt động cũng cho thấy sự bất cẩn và vi phạm của cơ sở này đối với quy định về an toàn và chất lượng dịch vụ y tế.
Để giải quyết vấn đề này, các cơ quan chức năng cần tiến hành kiểm tra và xác minh thông tin về việc sử dụng trụ Implant không rõ nguồn gốc tại Nha khoa Miley Luxury. Các biện pháp xử lý cần được áp dụng đồng thời để đảm bảo quyền lợi của người bệnh và ngăn chặn những vi phạm trong lĩnh vực y tế.
Ngoài ra, người dân cần nâng cao ý thức và kiến thức về quyền lợi bệnh nhân, cũng như biết cách bảo vệ mình khỏi những rủi ro trong quá trình sử dụng dịch vụ y tế. Việc lựa chọn phòng khám uy tín, có giấy phép hoạt động và cam kết chất lượng là một trong những biện pháp đảm bảo an toàn và hiệu quả.
Vụ việc Nghi vấn sử dụng trụ Implant không rõ nguồn gốc tại Nha khoa Miley Luxury là một lời cảnh báo cho ngành y tế và cả cộng đồng về tầm quan trọng của việc tuân thủ quy định, đảm bảo chất lượng và an toàn cho bệnh nhân. Việc này cần sự quan tâm và hành động kịp thời từ các cơ quan chức năng và xã hội để đảm bảo môi trường y tế tốt nhất cho mọi người.
Phòng khám Nha khoa Miley Luxury: Dấu hiệu trốn thuế
Trong thời gian gần đây, phòng khám Nha khoa Miley Luxury đã trở thành tâm điểm của sự chú ý sau khi nhận được những phản ánh liên quan đến việc trốn thuế và nguồn gốc của một số dịch vụ được cung cấp. Một số khách hàng, bao gồm cả anh H, đã than phiền về việc không nhận được hóa đơn và chứng từ hợp pháp từ phòng khám sau khi đã thanh toán tổng cộng 132 triệu đồng cho dịch vụ làm răng. Điều này đã khiến nhiều người đặt câu hỏi về tính minh bạch và trách nhiệm của phòng khám.
Theo anh H, phòng khám yêu cầu anh và gia đình chuyển tiền vào số tài khoản ngân hàng của một cá nhân, thay vì thanh toán trực tiếp tại phòng khám và nhận được hóa đơn, chứng từ hợp pháp từ phía phòng khám. Thêm vào đó, số tiền thanh toán chỉ được ghi nhận trên thẻ khách hàng có in hình logo phòng khám, mà không có bất kỳ hóa đơn hay chứng từ nào. Luật sư Trần Minh Hùng, từ Văn phòng Luật Gia Đình - Đoàn Luật sư TP Hồ Chí Minh, cho biết rằng hành vi này có dấu hiệu của việc trốn thuế, nếu phòng khám không xuất hóa đơn, không kê khai doanh thu với cơ quan chức năng.
![]() |
| Mặc dù đã đóng tổng cộng 132 triệu đồng cho dịch vụ làm răng tại Nha khoa Miley Luxury nhưng anh H không nhận được hóa đơn, chứng từ hợp pháp từ phòng khám. https://suckhoeviet.org.vn/ |
Tuy nhiên, việc phòng khám yêu cầu chuyển tiền vào tài khoản cá nhân để được xem có dấu hiệu trốn thuế hay không còn phụ thuộc vào quá trình điều tra xác minh và tình hình kê khai, quyết toán của phòng khám đó đối với cơ quan chức năng. Trong trường hợp được xác định có dấu hiệu trốn thuế, hình phạt hành chính hoặc xử lý hình sự có thể được áp dụng tùy thuộc vào tính chất và mức độ vi phạm.
Nhằm làm rõ sự việc, phóng viên đã có cuộc họp với đại diện của phòng khám Nha khoa Miley Luxury. Tuy nhiên, ngay từ đầu, có sự bất đồng giữa phản ánh của khách hàng và quản lý nhân sự của phòng khám, ông Nguyễn Quý Dương. Đối với trường hợp của anh H, ông Dương khẳng định rằng anh H không phải là con của ông và chưa xác định được anh H có liên quan đến gia đình ông hay không. Ông cũng nhấn mạnh rằng các dịch vụ tại phòng khám đều có chứng từ rõ ràng và được cấp phép đầy đủ.
![]() |
| Hình ảnh các bác sĩ Phòng khám Nha khoa Miley Luxury (không đeo bảng tên) đang tiến hành tháo chỉ cho ông D vào ngày 5/6, bất chấp lệnh đình chỉ hoạt động từ Sở Y tế (ảnh cắt từ video clip do bạn đọc cung cấp). https://suckhoeviet.org.vn/ |
Một vấn đề khác liên quan đến phòng khám Nha khoa Miley Luxury là việc cấy trụ Implant không rõ nguồn gốc. Khi phóng viên hỏi về nguồn gốc của các trụ Implant được phòng khám trồng cho khách hàng T.T.D, đại diện của phòng khám từ chối cung cấp thông tin. Tuy nhiên, ông Dương khẳng định rằng các dịch vụ của phòng khám đều được cấp phép và có chứng từ rõ ràng. Trong khi đó, các hình ảnh cung cấp bởi bạn đọc cho thấy phòng khám vẫn tiếp tục thực hiện tái khám và tháo chỉ cho khách hàng ngay tại trụ sở, mặc dù phòng khám đang trong thời gian bị đình chỉ hoạt động.
Đáng chú ý, dù phòng khám Nha khoa Miley Luxury khẳng định rằng chỉ hẹn khách về và không thực hiện dịch vụ tại thời điểm này, nhưng vẫn có khách hàng đến cơ sở và phóng viên ghi nhận được việc thực hiện tái khám và tháo chỉ. Điều này gây nhiều tranh cãi về tính minh bạch và sự đảm bảo chất lượng dịch vụ của phòng khám.
Với những thông tin và phản ánh trên, công chúng đặt câu hỏi về trách nhiệm và tính minh bạch của phòng khám Nha khoa Miley Luxury. Việc không xuất hóa đơn và không cung cấp chứng từ hợp pháp có thể tạo ra nghi ngờ về việc trốn thuế. Ngoài ra, việc không rõ nguồn gốc của các dịch vụ và trụ Implant cũng gây lo ngại về chất lượng và an toàn của các liệu trình điều trị.
Trong thời gian tới, việc điều tra và xác minh từ cơ quan chức năng sẽ làm rõ hơn về tình trạng này. Các điều tra xác minh sẽ tập trung vào việc kiểm tra tính minh bạch của hoạt động kinh doanh, việc kê khai doanh thu và các hình thức thanh toán của phòng khám Nha khoa Miley Luxury. Nếu phòng khám bị xác định có dấu hiệu trốn thuế, có thể sẽ bị xử lý hành chính hoặc hình sự tùy thuộc vào tính chất và mức độ vi phạm.
Đồng thời, công chúng cũng hy vọng rằng cơ quan chức năng sẽ kiểm tra và đảm bảo chất lượng dịch vụ y tế, đặc biệt là trong lĩnh vực Nha khoa. Việc cung cấp chứng từ hợp pháp và đầy đủ là một yếu tố quan trọng để bảo đảm quyền lợi và an toàn cho người bệnh.
Từng bị người dân phản ánh
Ngày 2 tháng 6, Phòng khám Nha khoa Miley Luxury, một cơ sở y tế nổi tiếng tại TP Hồ Chí Minh, đã bị xử phạt vi phạm hành chính sau khi các cơ quan chức năng phát hiện nhiều hành vi vi phạm trong quá trình hoạt động. Quyết định số 167/QĐ-XPHC của Thanh tra Sở Y tế TP Hồ Chí Minh đã áp dụng các biện pháp xử phạt và tước quyền sử dụng giấy phép hoạt động khám bệnh, chữa bệnh cùng chứng chỉ hành nghề khám bệnh, chữa bệnh của bác sĩ Trương Thanh Diệu, người chịu trách nhiệm chuyên môn kỹ thuật tại cơ sở này.
Theo thông tin từ Văn bản số 878/TTr ngày 5/6 của Thanh tra Sở Y tế TP Hồ Chí Minh, việc xử phạt này đã được đưa ra sau khi nhận được thông tin phản ánh từ người dân về hoạt động của Nha khoa Miley Luxury. Vào ngày 14/3, Thanh tra Sở phối hợp với Phòng Y tế Quận 3 tiến hành kiểm tra cơ sở này và phát hiện nhiều vi phạm quy định về hành nghề y tế.
![]() |
| Tại thời điểm phóng viên đến làm việc ghi nhận có khách hàng đến thăm khám nhưng khi trao đổi, người đại diện phòng khám lại cho rằng "chỉ hẹn khách về thôi chứ không làm dịch vụ tại thời điểm này". https://suckhoeviet.org.vn/ |
Cụ thể, Nha khoa Miley Luxury đã vi phạm nhiều quy định như không đăng ký hành nghề khám bệnh, chữa bệnh theo quy định của pháp luật; không sử dụng biển hiệu theo quy định; không ghi chép đầy đủ trong sổ khám bệnh, chữa bệnh theo quy định của pháp luật; không niêm yết giá dịch vụ khám bệnh, chữa bệnh. Điều đáng chú ý là người chịu trách nhiệm chuyên môn kỹ thuật không có mặt tại cơ sở khám bệnh, chữa bệnh trong thời gian hoạt động mà không ủy quyền cho người khác theo quy định của pháp luật. Hơn nữa, cơ sở cũng sử dụng người hành nghề không có chứng chỉ hành nghề khám bệnh, chữa bệnh.
Trước các hành vi vi phạm nêu trên, Thanh tra Sở Y tế TP Hồ Chí Minh đã quyết định xử phạt Công ty TNHH Miley Luxury với số tiền 93 triệu đồng và tước quyền sử dụng giấy phép hoạt động khám bệnh, chữa bệnh trong thời hạn 4 tháng. Đồng thời, bác sĩ Trương Thanh Diệu bị tước quyền sử dụng chứng chỉ hành nghề khám bệnh, chữa bệnh trong thời hạn 3 tháng.
Bước tiếp theo sau quyết định xử phạt là việc tạm ngưng giải quyết các thủ tục, hồ sơ có liên quan cho đến khi cơ sở chấp hành quyết định xử phạt vi phạm hành chính theo quy định. Thanh tra Sở Y tế đã thông tin về vụ việc này đến Phòng Quản lý Dịch vụ Y tế, Phòng Nghiệp vụ Y và Văn phòng Sở để đề xuất việc tạm ngưng giải quyết các thủ tục liên quan.
Vụ việc này không phải là lần đầu Nha khoa Miley Luxury bị người dân phản ánh và xử phạt. Trước đó, cơ sở này đã từng bị xử phạt với mức tiền lớn sau khi bị phản ánh về các vi phạm trong hoạt động. Tuy nhiên, điều đáng lưu ý là cơ sở này vẫn tiếp tục hoạt động và được cấp giấy phép hoạt động khám bệnh, chữa bệnh vào ngày 19/5/2021. Từ đó đến nay, không có thông tin về việc triển khai chính thức các kỹ thuật mới tại cơ sở này, theo quyết định thí điểm của Sở Y tế TP Hồ Chí Minh.
Hiện tại, các nội dung liên hệ và phản ánh của phóng viên đã được chuyển đến phòng chuyên môn của Sở Y tế TP Hồ Chí Minh để tiến hành xem xét và xử lý. Sở Y tế đang tiếp tục làm rõ thông tin và sẽ phản hồi cho báo chí khi có kết quả xác minh.
Vụ việc Nha khoa Miley Luxury bị xử phạt vi phạm hành chính là một minh chứng cho sự quan tâm và chấp hành quy định trong lĩnh vực y tế. Việc kiểm tra và xử lý các cơ sở y tế vi phạm là cần thiết để bảo đảm an toàn và chất lượng dịch vụ y tế cho người dân.
Tuy nhiên, để ngăn chặn các vi phạm trong hoạt động y tế, cần sự tham gia và phản ánh của cộng đồng. Việc phản ánh các vi phạm giúp cơ quan chức năng có thông tin để tiến hành kiểm tra và xử lý kịp thời. Đồng thời, người dân cũng nên chú ý khi sử dụng dịch vụ y tế, lựa chọn cơ sở y tế có đầy đủ giấy phép và đáp ứng các tiêu chuẩn chất lượng.
Như vậy, vụ việc Nha khoa Miley Luxury bị xử phạt vi phạm hành chính là một cảnh báo và đồng thời là cơ hội để cải thiện chất lượng hoạt động của các cơ sở y tế. Chúng ta hy vọng rằng các biện pháp kiểm tra và xử lý sẽ được tiến hành một cách nhanh chóng và công bằng, từ đó đảm bảo an toàn và chất lượng dịch vụ y tế cho người dân.
Tìm hiểu sâu hơn về vụ việc Nha khoa Miley Luxury và quá trình xử lý, chúng tôi sẽ tiếp tục cập nhật và phản ánh đến bạn đọc.
![]() |
| Thanh tra Sở Y tế thông tin đến Phòng Quản lý Dịch vụ Y tế, Phòng Nghiệp vụ Y và Văn phòng Sở để xem xét việc tạm ngưng giải quyết các thủ tục, hồ sơ có liên quan cho đến khi cơ sở chấp hành quyết định xử phạt vi phạm hành chính theo quy định. https://suckhoeviet.org.vn/ |
Nha Khoa Miley Luxury - Hành trình từ vi phạm đến xử phạt
Những ngày gần đây, Nha Khoa Miley Luxury đang trở thành tâm điểm của sự quan tâm và tranh cãi của cộng đồng y tế và người dân tại TP Hồ Chí Minh. Từ việc bị người dân phản ánh cho đến việc bị xử phạt với số tiền lớn, nơi này đã vấp phải nhiều vấn đề liên quan đến chất lượng dịch vụ y tế cũng như việc tuân thủ quy định của pháp luật.
Theo tìm hiểu của phóng viên, Phòng khám Nha khoa Miley Luxury đã được Sở Y tế TP Hồ Chí Minh cấp Giấy phép hoạt động khám bệnh, chữa bệnh vào ngày 19/5/2021. Người chịu trách nhiệm chuyên môn kỹ thuật tại phòng khám này là bác sĩ Trương Thanh Diệu. Đồng thời, vào cùng ngày 19/5/2021, Nha khoa Miley Luxury cũng nhận được Quyết định số 667/QĐ-SYT từ Sở Y tế TP Hồ Chí Minh, cho phép triển khai thí điểm một số kỹ thuật mới trong khám bệnh, chữa bệnh. Các kỹ thuật này bao gồm phẫu thuật đặt xương nhân tạo và màng sinh học quanh Implant, máng hướng dẫn phẫu thuật cấy ghép Implant, chụp sứ toàn phần gắn bằng ốc vít trên Implant. Tuy nhiên, số ca thí điểm tối đa chỉ được phép là 3 và sau khi hoàn thành, phòng khám phải báo cáo kết quả thực hiện thí điểm cho Sở Y tế để đề xuất việc triển khai chính thức hoặc không triển khai kỹ thuật này.
Tuy nhiên, nằm trong quá trình hoạt động, Nha khoa Miley Luxury đã gặp phải sự phản ánh từ phía người dân và bị xử phạt với số tiền lớn. Văn bản số 878/TTr ngày 5/6 của Thanh tra Sở Y tế TP Hồ Chí Minh cho biết, vào ngày 2/3, Sở Y tế nhận được thông tin phản ánh về hoạt động khám bệnh, chữa bệnh tại Nha khoa Miley Luxury. Đáp ứng nhanh chóng, vào ngày 14/3, Thanh tra Sở Y tế phối hợp với Phòng Y tế Quận 3 tiến hành kiểm tra cơ sở này. Trong quá trình kiểm tra, Thanh tra Sở phát hiện nhiều hành vi vi phạm như không đăng ký hành nghề khám bệnh, chữa bệnh theo quy định của pháp luật, không niêm yết giá dịch vụ khám bệnh, chữa bệnh, lập sổ khám bệnh, chữa bệnh nhưng không ghi chép đầy đủ theo quy định của pháp luật, không bảo đảm một số điều kiện sau khi được cấp giấy phép hoạt động khám bệnh, chữa bệnh, sử dụng người hành nghề không có chứng chỉ hành nghề khám bệnh, chữa bệnh. Tất cả những vi phạm trên đã khiến Nha khoa Miley Luxury bị xử phạt mức cao với số tiền 93 triệu đồng. Quyết định số 167/QĐ-XPHC ngày 2/6 của Thanh tra Sở Y tế cũng tước quyền sử dụng giấy phép hoạt động khám bệnh, chữa bệnh của phòng khám trong thời hạn 4 tháng và tước quyền sử dụng chứng chỉ hành nghề khám bệnh, chữa bệnh của bác sĩ Trương Thanh Diệu trong thời hạn 3 tháng kể từ ngày 2/6.
![]() |
| Thông tin xử phạt liên quan đến Nha khoa Miley Luxury. https://suckhoeviet.org.vn/ |
Sau những vi phạm trên, Thanh tra Sở Y tế cũng đã thông báo đến Phòng Quản lý Dịch vụ Y tế, Phòng Nghiệp vụ Y và Văn phòng Sở để tạm ngưng giải quyết các thủ tục, hồ sơ liên quan cho đến khi Nha khoa Miley Luxury tuân thủ quy định và chấp hành quyết định xử phạt vi phạm hành chính.
Phóng viên đã tiếp cận Sở Y tế TP Hồ Chí Minh để xác minh thông tin vào ngày 20/6 và ngày 29/6, một đại diện của Sở đã xác nhận rằng các nội dung liên hệ đã được chuyển đến phòng chuyên môn và đang trong quá trình xử lý. Sở Y tế sẽ phản hồi cho báo chí khi có thông tin cụ thể.
Vụ việc liên quan đến Nha khoa Miley Luxury đã mở ra một vấn đề quan trọng về chất lượng dịch vụ y tế trong cộng đồng. Việc vi phạm các quy định pháp luật và không đảm bảo các tiêu chuẩn an toàn và chất lượng có thể gây nguy hiểm đến sức khỏe và sự tin tưởng của người dân. Do đó, việc kiểm tra và xử lý các cơ sở y tế vi phạm là cần thiết để đảm bảo an toàn và chất lượng trong lĩnh vực y tế.
Ngoài ra, việc tạm ngưng giải quyết các thủ tục, hồ sơ liên quan cũng là biện pháp cần thiết để đánh giá lại hoạt động của cơ sở y tế và đảm bảo tuân thủ quy định. Điều này đồng nghĩa với việc cần có sự chặt chẽ trong quản lý và giám sát hoạt động của các cơ sở y tế để đảm bảo quyền lợi và sự an toàn của người dân.
Trong quá trình phát triển, ngành y tế đóng vai trò quan trọng và nhạy cảm trong việc bảo vệ sức khỏe và đời sống của mọi người. Để đảm bảo chất lượng dịch vụ y tế tốt nhất và an toàn cho người dân, việc thực hiện quy định và giám sát các cơ sở y tế là rất quan trọng. Cần có sự hợp tác chặt chẽ giữa các cơ quan chức năng, ngành y tế và người dân để xử lý các vi phạm và đảm bảo an toàn và chất lượng dịch vụ y tế.
PV
Tin liên quan
Thái Lan gặp Việt Nam ở chung kết bóng đá nam SEA Games 33 17/12/2025 15:41
Phim "Mưa đỏ" dừng bước tại cuộc đua Oscar 2026 17/12/2025 15:26
Lãi suất liên ngân hàng bất ngờ giảm mạnh 17/12/2025 15:20
Cùng chuyên mục
Uống nước chanh muối thế nào cho đúng? Chuyên gia chỉ rõ những sai lầm khiến hại nhiều hơn lợi
Sức khỏe - Làm đẹp 17/12/2025 15:14
Hà Nội ô nhiễm không khí: 6 loại thực phẩm giúp thanh lọc và bảo vệ phổi
Sức khỏe - Làm đẹp 15/12/2025 15:39
Tuyệt đối không làm điều này ngay khi thức giấc
Sức khỏe - Làm đẹp 14/12/2025 15:14
Những lưu ý khi ăn gạo lứt để có lợi cho sức khỏe
Sức khỏe - Làm đẹp 13/12/2025 12:29
Nước chanh gừng ấm: Thức uống tốt cho hệ miễn dịch mùa đông
Sức khỏe - Làm đẹp 12/12/2025 16:33
Ăn quýt mỗi ngày có tốt không?
Sức khỏe - Làm đẹp 11/12/2025 11:26
Các tin khác
Thực phẩm tăng cường hệ miễn dịch mùa đông
Sức khỏe - Làm đẹp 10/12/2025 09:10
Tử vi hôm nay, xem tử vi 12 con giáp hôm nay ngày 10/12/2025: Tuổi Mão thu nhập tăng
Sức khỏe - Làm đẹp 09/12/2025 18:00
Giải pháp cấp thiết bảo vệ sức khỏe trong điều kiện ô nhiễm không khí
Sức khỏe 09/12/2025 09:58
Những lợi ích làm đẹp bất ngờ từ các loại hạt
Sức khỏe - Làm đẹp 07/12/2025 12:23
Những ai cần thận trọng khi uống cà phê?
Sức khỏe - Làm đẹp 06/12/2025 17:30
Sự khác biệt giữa nông nghiệp hữu cơ và nông nghiệp sạch
Sức khỏe - Làm đẹp 05/12/2025 16:18
Các loại thực phẩm nên ăn trong mùa đông
Sức khỏe - Làm đẹp 04/12/2025 10:42
Giấm táo có thực sự giúp giảm cân?
Sức khỏe - Làm đẹp 03/12/2025 10:36
3 loại trái cây kích thích tổng hợp collagen
Sức khỏe - Làm đẹp 02/12/2025 15:43
Những lợi ích không thể ngờ tới của bí đỏ cho sức khỏe
Sức khỏe - Làm đẹp 01/12/2025 14:55
Loại thảo mộc giúp tăng cường năng lượng cho buổi chiều
Sức khỏe - Làm đẹp 01/12/2025 05:10
Bị cúm ăn gì, kiêng gì cho nhanh khỏi?
Sức khỏe - Làm đẹp 30/11/2025 10:10
5 loại trái cây giúp giảm ho và cảm lạnh hiệu quả
Sức khỏe - Làm đẹp 29/11/2025 09:19
Thêm mật ong vào sữa chua: Bí quyết cho đường ruột khỏe mạnh
Sức khỏe - Làm đẹp 29/11/2025 06:00
Tác động của việc ăn ít muối đến sức khỏe và tâm lý
Sức khỏe - Làm đẹp 28/11/2025 09:15
Bữa sáng chống lão hóa theo công thức của chuyên gia
Sức khỏe - Làm đẹp 27/11/2025 08:10
Lợi ích của việc cắt giảm đường đối với sức khỏe
Sức khỏe 26/11/2025 08:15
Bữa sáng chống lão hóa theo công thức của chuyên gia
Sức khỏe - Làm đẹp 25/11/2025 08:10
Nỗ lực gỡ thẻ vàng thủy sản và khai thác nghề cá có trách nhiệm tại các vùng biển.
Video 11/02/2025 16:16
WORLDBANK DỰ BÁO KINH TẾ VIỆT NAM NĂM 2024 VÀ NĂM 2025 | NHỊP ĐẬP THỊ TRƯỜNG #62
Video 24/05/2024 15:33
Tọa đàm “Xúc tiến thương mại: Khơi thông đầu ra cho sản phẩm OCOP”
Video 20/11/2023 17:25
Trao yêu thương cho em
Video 10/10/2022 14:03
Kon Tum giải cứu nạn nhân bị lừa bán sang Campuchia
Video 10/10/2022 13:58






