Nghiên cứu so sánh Công nghệ SLO và Chụp ảnh màu đáy mắt thông thường
Sự khác biệt
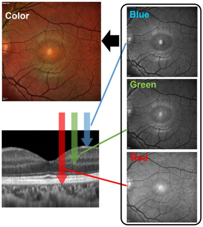
Công nghệ quét SLO cho phép mang lại hình ảnh đáy mắt rõ nét hơn so với các thế hệ chụp đáy mắt truyền thống ngay cả trên các trường hợp không giãn đồng tử. Với hệ thống camera chụp đáy mắt trước đây, hình ảnh võng mạc được thu thập bằng cách sử dụng một nguồn sáng flash phát ra với các bước sóng khác nhau, sau đó thiết bị sẽ tiếp nhận lại ánh phản xạ của các cấu trúc nhãn cầu, để tạo nên hình ảnh cần khảo sát.
Hình ảnh được chụp bởi các máy chụp đáy mắt truyền thống sẽ phụ thuộc vào độ trong suốt của các môi trường truyền quang nhãn cầu, kích thước đồng tử và tình trạng đục thủy tinh thể của bệnh nhân. Thông thường, khi mắt không được thực hiện giãn đồng tử, lượng ánh sáng đi vào sẽ giảm và dẫn đến hình ảnh thu được khó có thể đạt được độ sáng và độ rõ nét tối ưu.
|
|
Bên cạnh đó, công nghệ chụp đáy mắt màu với SLO còn mang lại chất lượng hình ảnh tốt hơn so với camera chụp đáy mắt truyền thống. Không giống như những thế hệ thiết bị chụp đáy mắt trước đây (sử dụng nguồn sáng với các bước sóng khác nhau), trên SLO, mỗi bước sóng ánh sáng sẽ đóng vai trò cung cấp thông tin về mỗi lớp khác nhau của võng mạc. Với ưu điểm trên, các thiết bị được trang bị hệ thống SLO không chỉ mang lại chất lượng hình ảnh tốt hơn, mà còn cung cấp nhiều hơn các thông tin trên các cấu trúc võng mạc ở các độ sâu khác nhau so với công nghệ thông thường.
|
|
Nghiên cứu khoa học trên Optomap
Giá trị trong chẩn đoán, điều trị bệnh lý Võng mạc Đái Tháo Đường theo ETDRS
Kết quả nghiên cứu dựa trên cơ sở dữ liệu lớn được được thu thập từ đa trung tâm Nhãn Khoa, đã chứng minh giá trị của Optomap theo ETDRS – Tiêu chuẩn vàng trong đánh giá và phân loại bệnh lý Võng mạc Đái Tháo Đường.
Trong một nghiên cứu mới được công bố gần đây trên 700 mắt tại 38 địa điểm đã chứng minh công nghệ chụp ảnh đáy mắt góc siêu rộng (UWF) mang lại hiệu quả đáng kể trong việc xác định mức độ nghiêm trọng của bệnh lý Võng mạc Đái Tháo Đường (DR) theo tiêu chuẩn của nghiên cứu về Chẩn đoán – điều trị sớm bệnh lý Võng Mạc Đái Tháo Đường (ETDRS). Kết quả trên một số nghiên cứu lâm sàng trước đây trong so sánh hình ảnh thu được với Optomap UWF chũng đã chỉ ra rằng sự thống nhất với tiêu chuẩn ETDRS trên 7 khu vực đánh giá trên hình ảnh đáy mắt và khám võng mạc giãn đồng tử trên xác định mức độ bệnh lý Võng mạc Đái Tháo Đường.
Khi so sánh Optomap với hình ảnh trên ETDRS đạt độ chính xác tương đồng lên đến 59% và 97% trong một số trường hợp. Phần lớp các tổn thương của DR chủ yếu nằm ở vùng chu biên (PPL) với tỷ lệ xuất hiện lên đến 41% và gợi ý một tình trạng DR nặng hơn ở giai đoạn 2 hoặc cao hơn với tỷ lệ 11%. Liệu rằng khả năng xác định những tổn thương vùng chu biên có mang lại giá trị thực tiễn trong chẩn đoán nguy cơ tiến triển bệnh lý DR trong tương lai hay không? Câu trả lời sẽ có trong những báo cáo dữ liệu hoàn thiện trên nghiên cứu này trong thời gian sắp tới.
| “Việc không thể đánh giá, phát hiện những trường hợp bệnh nhân có nguy cơ xuất hiện Võng mạc Đại Tháo Đường hoặc Võng mạc Đái Tháo Đường tăng sinh bởi tiêu chuẩn ETDRS trên phạm vi 7 hình ảnh tiêu chuẩn võng mạc là rất cần được chú ý trong chăm sóc sức khỏe cho các bệnh nhân Đái Tháo Đường. Công nghệ UWF không chỉ mang lại hình ảnh chất lượng, mà còn rất quan trọng trong trên lâm sàng với các yêu cầu sàng lọc, đánh giá chính xác nguy cơ tiến triển của bệnh lý Võng mạc Đái Tháo Đường, mang lại giá trị to lớn trong chăm sóc, tư vấn và hội chẩn từ xa giúp cải thiện chất lượng chăm sóc sức nhãn khoa thông qua các dữ liệu ngay cả trên võng mạc chu biên” - Tạp chí Nhãn KhoaL Ophthalmology 2018 |
Liệu rằng công nghệ chụp ảnh đáy mắt góc siêu rộng có thể thay thế được ETDRS trong phân loạn mức độ bệnh lý Võng mạc Đái Tháo Đường hay không?
Trong hai thập kỉ vừa qua, tiêu chuẩn để đánh giá mức độ nghiêm trọng của bệnh lý DR được điều chỉnh và phát triển dựa trên phân loại Airlie House – sử dụng trong nghiên cứu ETDRS, trong đó vị trí và phạm vi cụ thể của những tổn thương trên võng mạc được đánh giá trên 7 cặp hình ảnh lập thể của đáy mắt tại vùng cực sau. Việc xác định mức độ và vị trí của các tổn thương này có mối tương quan lớn đến nguy cơ tiến triển của bệnh. Các nghiên cứu trước đây cũng đã chỉ ra giá trị của công nghệ hình ảnh UWF trong xác định các tổn thương của DR tại vùng võng mạc chu biên.
Tại nghiên cứu này, chúng tôi ghi nhận sự tương đồng trong đánh giá mức độ bệnh lý DR trên ETDRS và UWF tại đa trung tâm lâm sàng lớn (38 địa điểm) với 385 bệnh nhân có võng mạc Đái Tháo Đường không tăng sinh (NPDR). (Mức nghiêm trọng của bệnh với ETDRS là 35-53), không có tiền sử quang đông võng mạc và phù hoàng điểm (trên OCT) được ghi nhận.
-
Nghiên cứu đã chứng mình rằng tiêu chuẩn ETDRS và công nghệ chẩn đoán hình ảnh UWF có sự tương đồng trong đánh giá mức độ bệnh lý DR trong khu vực trung tâm võng mạc và UWF có thể thay thế cho ETDRS trong việc phân độ và hỗ trợ trong điều trị bệnh lý DR.
-
Hình ảnh của bệnh lý DR được đánh giá mức độ nghiêm trọng một cách độc lập và ngẫu nhiên.
-
737 mắt được đánh giá ngẫu nhiên, độc lập trên UWF và ETDRS, trong đó 435 mắt (59%) đạt được sự đồng nhất kết quả giữa hai phương pháp và 714 mắt (96,9%) trong khoảng chênh lệch giai đoạn 1.
-
Phần lớn các tổn thương trên DR ở võng mạc chu biên (PPL) được phát hiện trên 41% mắt và gợi ý tiến triển DR giai đoạn 2 hoặc cao hơn là 11%.
-
Công nghệ UWF cho khả năng đánh giá mức độ bệnh lý DR tốt hơn trên 27% mắt so với ETDRS
-
Với UWF khả năng phát hiện bệnh lý Võng mạc Đái Tháo Đường không chỉ tăng lên gấp 2 lần mà còn giảm thời gian thăm khám còn một nửa trên lâm sàng so với trước đây. Tỷ lệ hình ảnh không được phân độ giảm 71% (đến
-
Những phát hiện trong tương lai dựa trên nghiên cứu tiến cứu trên đây dự kiến sẽ cung cấp thêm cơ sở dữ liệu để trả lời câu hỏi: Liệu lằng công nghệ hình ảnh UWF có thể phát triển như một phương pháp đánh giá nguy cơ tiến triển bệnh lý DR chính xác và giá trị hay không.
-
Các nghiên cứu trước đây cũng đã chỉ ra rằng PPL có mối tương quan với nguy cơ tiến triển bệnh lý Võng mạc Đái Tháo Đường (DR) gấp 5 lần trong những trường hợp có phát hiện Đái Tháo Đường trên 4 năm. Mặt khác, tại nghiên cứu này cũng cho thấy cỡ mẫu bệnh nhân đủ lớn để trả lời cho câu hỏi về giá trị của đánh giá PPL trên lâm sàng.
|
|
Máy chụp ảnh võng mạc góc siêu rộng của hãng NIKON/ OPTOS chụp bằng công nghệ laser SLO và góc chụp rộng 200 độ cho chỉ một lần chụp, và độ bao phủ cho một lần chụp là >82% diện tích võng mạc, và chỉ cần trong một nửa giây (1/2 giây). Máy có chụp các chế độ như chụp màu, loại ánh sáng dỏ, huỳnh quang tự phát (FAF) huỳnh quang (FA) và cả chụp ICG tùy theo sự lựa chọn của Bác sỹ hay Bệnh viện, hiện chụp OCT (cắt lớp võng mạc mắt) cũng đã được tích hợp trên máy (theo model).
|
|
|
|
Hiện các máy của hãng NIKON/ OPTOS dã có ở các bệnh viện: Bệnh viện Lão khoa Trung Ương; Bệnh viện Mắt quốc tế Nhật Bản; Bệnh viện Mắt Sông Cầu; Bệnh viện đa khoa Tâm Anh.
Các Bác sỹ có thể chỉ định bệnh nhân tới các bệnh viện trên hoặc qua thực hành khám cho bệnh nhân của mình để có được các đánh giá lâm sàng tốt nhất cho bệnh nhân và nhất là phát hiện bệnh sớm.
Thiết bị này cũng được giới thiệu tại Hội nghị khoa học kỹ thuật Nhãn khoa toàn quốc do Bệnh viện Mắt trung ương tổ chức tại Thanh hóa, ngày 10 tháng 8 năm 2024.
Chú giải:
DR: bệnh lý võng mạc đái tháo đường
Optomap: Phần mềm chuyên dụng của hãng Nikon/ Optos dùng là công cụ để Bác sỹ nghiên cứu, đánh giá, khảo sát và chỉ rõ tình trạng bênh lý võng mạc mắt
ETDRS: Nghiên cứu điều trị bệnh lý võng mạc đái tháo đường sớm
PPL: Lớp võng mạc vùng chu biên
SLO: Công nghệ soi, quét từng lớp võng mạc bằng laser, ứng dụng các gương để hướng tia laser quét các vùng võng mạc cần khảo sát.
UWF: Công nghệ chụp ảnh võng mạc mắt góc siêu rộng (> 200 độ)
Tài liệu tham khảo:
1. Comparison of ETDRS Standard 7-field Imaging versus Ultrawide Field Imaging for Determining Diabetic Retinopathy Severity. JAMA Ophthalmology. 2018.
2. Nonmydriatic Ultrawide Field Retinal Imaging Compared with Dilated Standard 7-Field 35mm Photography and Retinal Specialist Examination for Evaluation of Diabetic Retinopathy. American Journal of Ophthalmology. 2012.
3. Peripheral Lesions Identified by Mydriatic Ultrawide Field Imaging: Distribution and Potential Impact on Diabetic Retinopathy Severity. Ophthalmology. 2013.
4. Potential efficiency benefits of nonmydriatic ultrawide field retinal imaging in an ocular telehealth diabetic retinopathy program. Diabetes Care. 2014.
5. Peripheral Lesions Identified on Ultrawide Field Imaging Predict Increased Risk of Diabetic Retinopathy Progression over 4 Years. Ophthalmology 2015
Nguồn:Nghiên cứu so sánh Công nghệ SLO và Chụp ảnh màu đáy mắt thông thường
Tin liên quan
Thái Lan gặp Việt Nam ở chung kết bóng đá nam SEA Games 33 17/12/2025 15:41
Phim "Mưa đỏ" dừng bước tại cuộc đua Oscar 2026 17/12/2025 15:26
Lãi suất liên ngân hàng bất ngờ giảm mạnh 17/12/2025 15:20
Cùng chuyên mục
Tử vi hôm nay, xem tử vi 12 con giáp hôm nay ngày 18/12/2025: Tuổi Tuất công việc bình ổn
Đời sống 17/12/2025 18:00
Tử vi hôm nay, xem tử vi 12 con giáp hôm nay ngày 17/12/2025: Tuổi Mão tình cảm gặp mâu thuẫn
Đời sống 16/12/2025 18:00
Điều chỉnh lịch các hoạt động Bế mạc Năm Du lịch quốc gia – Huế 2025
Đời sống 16/12/2025 15:28
Tử vi hôm nay, xem tử vi 12 con giáp hôm nay ngày 16/12/2025: Tuổi Dậu sự nghiệp phát triển
Đời sống 15/12/2025 18:00
Những bài hát không thể thiếu trong mùa Giáng sinh
Đời sống 15/12/2025 15:50
Tử vi hôm nay, xem tử vi 12 con giáp hôm nay ngày 15/12/2025: Tuổi Dậu tiền bạc may mắn
Đời sống 14/12/2025 18:00
Các tin khác
Bảo tồn và phát huy lễ hội Cầu an của đồng bào Khmer ở Cà Mau
Đời sống 14/12/2025 15:10
Tử vi hôm nay, xem tử vi 12 con giáp hôm nay ngày 14/12/2025: Tuổi Thìn thăng quan tiến chức
Đời sống 13/12/2025 18:00
Tọa đàm mô hình tài chính P2C trong phát triển kinh tế xanh: Góc nhìn pháp lý và thực tiễn
Đời sống 12/12/2025 22:38
Tử vi hôm nay, xem tử vi 12 con giáp hôm nay ngày 13/12/2025: Tuổi Tý cải thiện tinh thần
Đời sống 12/12/2025 18:00
Tử vi hôm nay, xem tử vi 12 con giáp hôm nay ngày 12/12/2025: Tuổi Thân chi tiêu cần thận trọng
Đời sống 11/12/2025 18:00
Núi Bà Đen: Từ điểm hành hương đến động lực tăng trưởng của Tây Ninh
Du lịch 11/12/2025 13:00
Tử vi hôm nay, xem tử vi 12 con giáp hôm nay ngày 11/12/2025: Tuổi Mão tài chính biến động
Đời sống 11/12/2025 11:09
Gần 200 sinh viên bước vào kỳ thi Olympic Trí tuệ nhân tạo Sinh viên Việt Nam lần đầu tiên
Đời sống 09/12/2025 15:43
TP.HCM: Sẽ tổ chức bắn pháo hoa đón chào năm mới 2026
Đời sống 09/12/2025 10:37
Giới trẻ đổ về núi Bà Đen, Tây Ninh “săn” hoàng hôn
Đời sống 09/12/2025 10:34
Tử vi hôm nay, xem tử vi 12 con giáp hôm nay ngày 8/12/2025: Tuổi Tý công việc sáng tạo
Đời sống 07/12/2025 18:00
Cao nguyên đá Đồng Văn nhận danh hiệu "Điểm đến văn hóa hàng đầu thế giới 2025"
Đời sống 07/12/2025 12:30
Tạp chí Công nghiệp Nông thôn: Bài báo khoa học, kết nối tri thức – Nâng tầm nghiên cứu
Đời sống 06/12/2025 22:26
Tử vi hôm nay, xem tử vi 12 con giáp hôm nay ngày 7/12/2025: Tuổi Tuất công việc thuận lợi
Đời sống 06/12/2025 17:27
Vietnam Happy Fest 2025 mở màn rộn ràng tại Hồ Gươm
Đời sống 06/12/2025 17:22
Tử vi hôm nay, xem tử vi 12 con giáp hôm nay ngày 6/12/2025: Tuổi Mùi tài lộc tăng phi mã
Đời sống 05/12/2025 18:00
Festival Hoa - Kiểng Sa Đéc tôn vinh nghề trồng hoa, kiểng hơn 100 năm
Đời sống 05/12/2025 16:00
Tử vi hôm nay, xem tử vi 12 con giáp hôm nay ngày 5/12/2025: Tuổi Sửu đầu tư không thuận
Đời sống 04/12/2025 18:00
Nỗ lực gỡ thẻ vàng thủy sản và khai thác nghề cá có trách nhiệm tại các vùng biển.
Video 11/02/2025 16:16
WORLDBANK DỰ BÁO KINH TẾ VIỆT NAM NĂM 2024 VÀ NĂM 2025 | NHỊP ĐẬP THỊ TRƯỜNG #62
Video 24/05/2024 15:33
Tọa đàm “Xúc tiến thương mại: Khơi thông đầu ra cho sản phẩm OCOP”
Video 20/11/2023 17:25
Trao yêu thương cho em
Video 10/10/2022 14:03
Kon Tum giải cứu nạn nhân bị lừa bán sang Campuchia
Video 10/10/2022 13:58




